NOOL DENT - Implanturi Dentare București - Preț Transparent
NOOLDENT
0770 848 848 Str. Nicolae Caramfil 87, București
Programări disponibile săptămâna aceasta: Verifică acum

Reabilitare Totală pe Implanturi: 12.900 Lei
Preț Fix, Fără Costuri Ascunse.

Echipă de medici dedicată: chirurgie maxilo-facială și protetică dentară. Redăm funcționalitatea estetică, masticatorie și încrederea.

🛡️ Garanție Material Implant
💳 Rate Fără Dobândă
🧠 Echipă dedicată chirurgi maxilo-faciali
Înainte / După
exemplu (cu acordul pacientului)
Înainte - caz real
Înainte
După - caz real
După
Vrei să știi exact ce ți se potrivește? Faci consult și primești plan clar.

Consultație gratuită + plan personalizat

Primești plan de tratament detaliat în 24 ore

Clinica NOOL DENT

Tratament efectuat de echipă multidisciplinară

La NOOL DENT, cazul tău este gestionat de o echipă: chirurgi maxilo-faciali, proteticieni și medic parodontolog. Lucrăm împreună ca un “puzzle” — fiecare piesă contează ca să iasă zâmbetul complet.

Dr. Șenol Ghiuzan
SG

Dr. Șenol Ghiuzan

Chirurgie maxilo-facială

Dr. Lavinia Pădurescu
LP

Dr. Lavinia Pădurescu

Protetică dentară / Parodontologie

Diferențe clinice între Proteza Mobilă și Implant
Înțelege impactul fiecărei soluții asupra sănătății tale orale pe termen lung.
Criteriu Medical Proteza Mobilă Sistem Fix pe Implanturi
Stabilitate Masticatorie
Capacitatea de a mesteca alimente dure
Redusă (20-30%) Normală (95-100%)
Sănătatea Osului Maxilar
Efectul asupra volumului osos în timp
Accelerează atrofia (osul se topește) Menține volumul osos (stimulare funcțională)
Confort Fonetic
Stabilitate în timpul vorbirii
Risc de mobilizare Fixă (nu se mișcă)
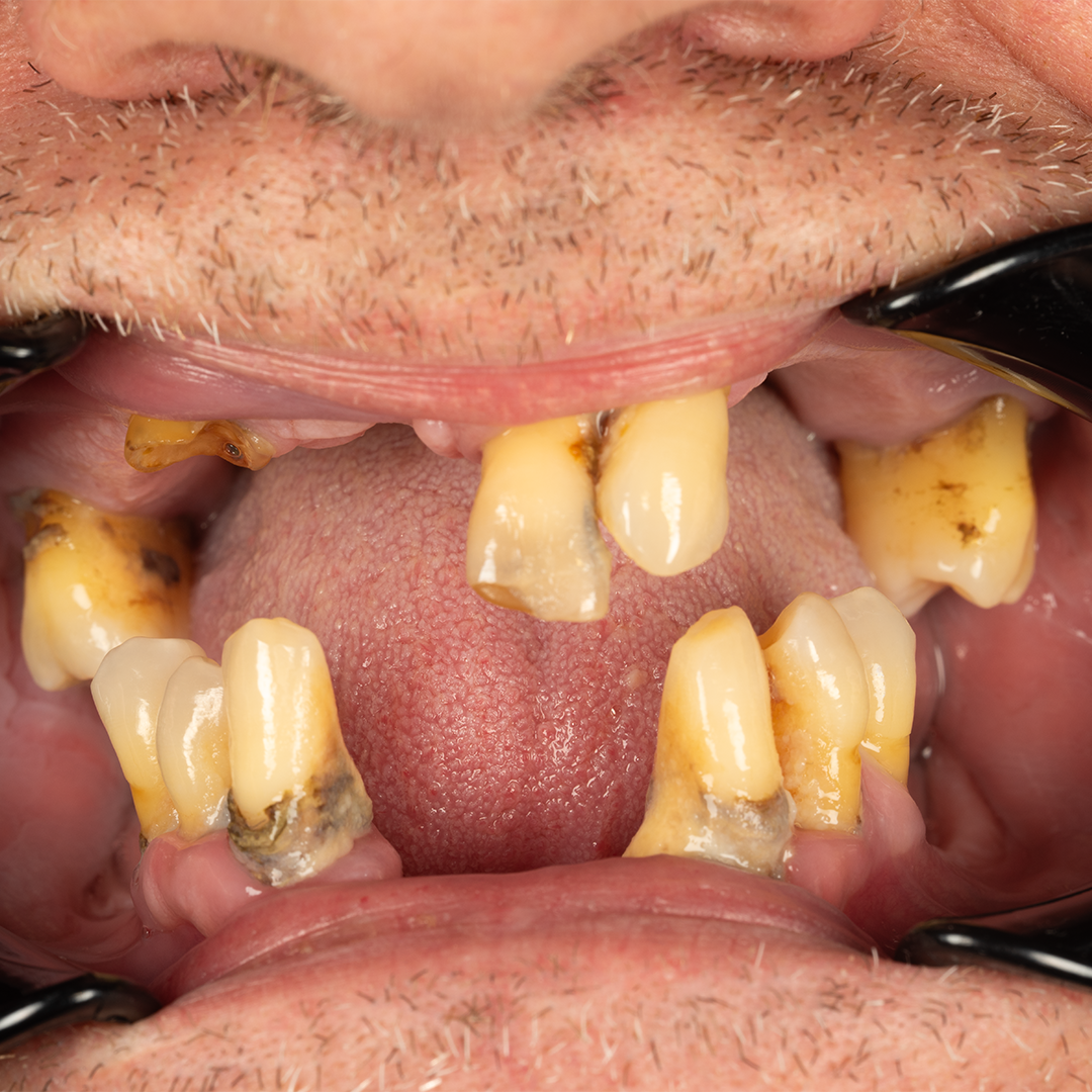
Cazuri Clinice Reale
Rezultate obținute în clinica noastră. Imaginile sunt prezentate cu acordul pacienților.
Caz 1 - Înainte Reabilitare Totală Înainte
Caz 1 - După După
Pacient M.A. (58 ani)

Restaurare funcțională completă cu lucrare fixă.

Caz 2 - Înainte Zona Laterală Înainte
Caz 2 - După După
Pacient I.S. (45 ani)

Stabilitate la masticație și confort zilnic.

Caz 3 - Înainte Estetică Frontală Înainte
Caz 3 - După După
Pacient E.D. (32 ani)

Refacere estetică și încredere la zâmbit.

Testimoniale Video Pacienți
Oameni reali. Experiențe reale. Fără scenarii.
Sorin Dumitrescu, 46 ani
Alina Marinescu, 45 ani
Simona Petrescu, 46 ani
Ramona Șerban, 50 ani
Irina Pavel, 49 ani
Transparență Financiară
Plan clar, preț fix, fără surprize. Exact cum vrei și tu, și pacientul.

🛡️ Garanția Prețului Fix

La NOOL DENT, planul de tratament semnat este cel final. Nu adăugăm taxe ascunse pentru consumabile, anestezie sau etape intermediare.

Ce înseamnă un deviz onest:

  • Deviz defalcat complet înainte de începere
  • Fără costuri de “urgență” nejustificate
  • Posibilitate de plată eșalonată (Rate)

Arcadă completă 4 implanturi premium

4 Implanturi Dentare Premium Inclus
Componente protetice Incluse
Lucrare fixă provizorie Inclusă
Intervenție chirurgicală & anestezie Inclus
TOTAL PACHET: 12.900 Lei

*Prețul nu include analizele de sânge și investigațiile radiologice inițiale (CBCT), dacă sunt necesare.

Calculator Estimativ
Dinți lipsă: 6
Investiție Estimată 12.900 Lei
Rată lunară (12 luni) 1.075 Lei
Estimare orientativă. Pentru arcadă completă: pachet de la 12.900 Lei (4 implanturi).

Cum decurge tratamentul pentru implanturile dentare?

Implanturile dentare sunt o soluție modernă și durabilă pentru înlocuirea dinților lipsă. Procesul are mai multe etape, ca să fie integrarea corectă și rezultatul să arate bine și să țină.

Consultația inițială
Evaluăm dantura și facem investigații (radiografii, tomografie 3D) pentru a stabili planul de tratament.
Inserarea implantului
Sub anestezie locală, medicul fixează implantul în os. Dacă e necesar, se adaugă grefă osoasă. (Timp de vindecare: 3-6 luni)
Montarea bontului protetic
După integrarea implantului, se montează conectorul pentru viitoarea coroană. (Timp de vindecare: 2-4 săptămâni)
Fixarea coroanei definitive
Coroana personalizată este montată, oferind un aspect și funcționalitate identice unui dinte natural.
Îngrijire și controale
Implantul necesită igienă riguroasă și vizite periodice pentru durabilitate maximă.
Întrebări frecvente
Cât durează tratamentul cu implant dentar?
În funcție de complexitate, poate dura între 3 și 6 luni, incluzând perioada în care implantul se integrează în os.
Cine poate beneficia de un implant dentar? +
În general, aproape oricine are dinți lipsă și o sănătate orală bună. La consultație verificăm osul și stabilim planul potrivit pentru tine.
Este dureroasă procedura de implant dentar? +
Nu se simte durere în timpul procedurii (se face cu anestezie locală). După, poate exista disconfort ușor câteva zile, controlabil cu tratamentul recomandat.
Care sunt riscurile unui implant dentar? +
Ca la orice procedură, pot exista riscuri (inflamație, infecție, vindecare mai lentă). De asta contează planul corect, igiena și controalele.
Cât de rezistent este un implant dentar? +
Cu igienă bună și controale periodice, implantul poate rezista mulți ani (adesea chiar foarte mult timp).
Ce se întâmplă dacă nu am suficient os pentru implant? +
Există soluții precum adiția osoasă sau alte tehnici, iar medicul îți spune ce variantă e sigură pentru cazul tău.
Pot mânca normal cu un implant dentar? +
Da. După vindecare și lucrarea finală, mănânci normal. În perioada de vindecare primești indicații clare ce să eviți.
Cum trebuie îngrijit un implant dentar? +
Ca un dinte normal: periaj corect, ață/periuțe interdentare și controale regulate. Igiena = viață lungă.
Implanturile dentare sunt mai bune decât protezele? +
În multe cazuri, da: sunt mai stabile, mai confortabile și pot ajuta la menținerea osului. Dar alegerea finală se face după evaluare.
Cât costă un implant dentar? +
Depinde de plan (implant, bont, coroană, investigații, eventual adiție osoasă). Îți facem deviz clar după consultație.
Pot înlocui mai mulți dinți cu implanturi dentare?
Da. Se pot folosi implanturi multiple sau punți pe implanturi pentru a restaura mai mulți dinți lipsă.
Vrei o programare?
Apasă și completează formularul